什么是老鼠牙,其实老鼠牙是日常生活中一种一般常见的牙齿畸形状况,老鼠牙不仅影响个人形象,还会影响口腔健康,引发各种口腔疾病,危害是比较大的。那么,到底什么是老鼠牙呢?下面广州越秀圣贝口腔门诊部口腔(牙科连锁)专家就来为大家详细介绍。

一、什么是老鼠牙?
老鼠牙也叫过小牙或小个牙,学名为“牙本质发育不全”。牙本质发育不全是一种牙本质发育异常的常染色体显性遗传疾病,可以在一个家族中连续几代出现,男女都可以出现。患上这种病后,牙齿变化主要表现在牙本质,而牙釉质基本正常。孩子的乳牙、恒牙都可能受到侵犯,而乳牙的病损更加严重。儿童老鼠牙矫正要多少钱?
二、老鼠牙的症状:
老鼠牙多发生在侧切牙,与遗传因素有关。其形态多为锥形,且明显小于正常的侧切牙,有碍美观,有时也影响发音和切咬合功能。
三、导致老鼠牙的可能原因
老鼠牙可能和你小时候吮手指、咬铅笔、托腮沉思等不良习惯有关。牙博士口腔专家魏医生说,错颌畸形的危害不仅是难看,严重的还影响发音、呼吸和吞咽。吮吸手指也会导致“老鼠牙”。
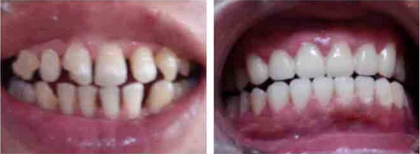
老鼠牙矫正我们--美颜正畸系统
圣贝连锁牙科正畸研究中心美颜正畸,在不磨牙,不戴冠的情况下,将韩国微整形美容(颌面外科手术)与数控隐形矫正(牙齿矫正)相结合,在实现健康矫正的同时,利用矫正牙齿过程中的骨移动原理,重新改造面部形态的骨骼群,终实现面部“整形”。
广州越秀圣贝口腔门诊部连锁牙科连锁医疗机构引进的美颜正畸出现完全解决了“钢齿铁牙”的问题,它在无钢丝、无托槽的状态下完成矫治,在不知不觉中恢复容貌美观,而别人根本看不到你带了牙套矫正器。具有、清洁、美观、方便、个性、标准、舒适七大独特优点,仅半年以上就可完美拥有整齐好牙!科技改变生活,健康改变人生。“美颜正畸”以其矫牙美容的“双核”效率,必将引领一个时代的潮流。
接诊时间:09:00-18:00 节假日不休息
门诊地址:广州市越秀区广州大道中