目前市面上出现的烤瓷牙有很多种,因为烤瓷牙是属于比较普遍的牙修复方式,但是不是所有的烤瓷牙都是一样的,种类有很多。哪种烤瓷牙好呢?还是得听听专家的分析。

哪种烤瓷牙好?广州越秀圣贝口腔门诊部专家表示,烤瓷修复种类大致有以下几种:
1、全瓷釉瓷贴面:如果牙齿没有较大的缺损,而只是色泽不佳,建议您采用这种修复方式,可达到近乎完美的美学效果。它是通过将牙齿唇颊侧(朝向外面的那一侧)表面均匀地磨除一层(约1mm)后用牙科专用瓷性材料重塑牙齿外形和色泽,因为可以控制牙齿颜色指标,因此美容效果很好,耐磨性与牙齿相近;广州一颗烤瓷牙多少钱?
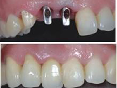
2、全瓷冠:将牙齿各个外表面均匀磨除一层(约1.0-1.5mm)后,用专用全瓷材料将整个牙齿覆盖,恢复牙齿外形、功能和美观。
由于材料本身强度的限制,上述两种修复方式一般只适用于前牙。后牙对强度要求较高,一般采用烤瓷冠修复。
3、烤瓷冠:将牙齿外表面均匀磨除一层(约1.5-2mm)后,用金属作为内层牙冠,用牙科专用瓷性材料高温烧结在金属表面,从而恢复牙齿外形、强度和美观,由于存在金属内冠,机械强度要高于瓷贴面和全瓷冠,缺点是由于要遮住金属内冠的颜色,需要用遮色瓷层,这样会使牙色层次感、逼真感较差。烤瓷冠根据内冠材料不同,主要分为镍铬合金烤瓷冠、钛钴合金烤瓷冠、金铂合金烤瓷冠以及金沉积烤瓷冠。
选择正规的医院进行治疗
广州越秀圣贝口腔门诊部是品牌连锁机构,始于圣手仁心,其主品牌圣贝牙科经法兰西萌牙、普鲁士生根、化浪潮,成为的知名牙科连锁。圣贝强势整合国内外牙科专家资源,拥有“五大核心”,在行业内率先将灭菌消毒提升至16层,成为连锁牙科医疗标准在中国的首航者。
所引进的价值200万元的西诺德Cerec5D牙美容系统不仅可以完成多颗连桥修复体,而且以更、更快捷、更美观、更智能地完成牙体修复,具有蓝光全息扫描 、智能化定制 、生物仿生设计 、速度更快、使用寿命、一站式修复等优点。单颗修复从过去需要7——15天的戴牙,现快缩短至45分钟。不得不说,这台被成为齿科“高铁”的高性能牙美容设备,刚上市赢得满堂喝彩。
接诊时间:09:00-18:00 节假日不休息
门诊地址:广州市越秀区广州大道中