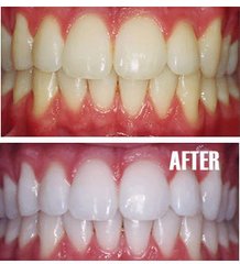
随着人们生活水平的提高,人们爱美心理就越来越显著了,对于牙齿的面容也越加关注。瓷贴面是目前比较好的一种牙齿美容方法,具有有良好的组织相容性,化学性能稳定,色泽可调配与天然牙协调,透明性好、颜色稳定、耐磨性好。

瓷贴面能有效解决釉质发育不良、四环素牙、氟斑牙、畸形牙、牙间隙过大、邻面龋坏和切端缺损等问题,那么它的具体优点有哪些呢?
1、美观,仿真效果好。瓷贴面仿真的美容效果,具有与天然牙体组织相同的光学特质,表现出较佳的美学效果,不会出现烤瓷牙常见的牙龈黑线现象。并且瓷本身的高耐磨性和不着色可以使瓷贴面达到的美白效果。
2、,磨除牙体组织少。瓷贴面磨除牙体组织少,有些情况下甚至不要磨除牙体组织,这样可以保存大量的牙体组织,不需要杀神经,基本上控制了术后牙髓炎症、坏死等全冠修复的后遗症,可以保持天然牙齿长期的健康。
3、健康,对牙龈刺激小。瓷贴面具有极好的透光性有利于保护牙龈及制取印模和粘结瓷片,对牙龈的刺激小,不会有金属烤瓷牙的金属离子导致的牙龈变色,烤瓷冠的硬度大于牙釉质,可造成对颌牙的磨损,而瓷贴面的硬度梢低于牙釉质,可以有效保护对颌牙。
4、瓷贴面修复基本不需要磨切牙齿的舌侧部分,可以保存大部分甚至全部舌侧的形态,有效的保护了对颌牙,同时舌头接触到的仍然是未被破坏的天然牙齿,触觉自然、舒适,避免舌头与传统烤瓷牙接触时的“异物感”。
瓷贴面是口腔美容史上的里程碑,极大地满足了人们牙齿美容的要求,且快速,美白时间长。做瓷贴面的注意事项有哪些?
广州越秀圣贝口腔门诊部口腔
广州越秀圣贝口腔门诊部口腔拥有一个强大的口腔专家团队,汇聚了欧美、亚洲等连锁着名的牙科专家,在口内、口外、修复、正畸、牙美容、牙种植等方面都颇有造诣。广州越秀圣贝口腔门诊部口腔严格按卫生部及物价部门标准统一收费,公开透明的收费制度,让患者明明白白看病。另外,广州越秀圣贝口腔门诊部口腔还加强医生医德教育,开展“阳光从医”活动,所有的医务人员都应拒收红包、不接受病人吃请,只需部分检查的决不做全面检查、普通能的绝不用昂贵,大限度地减轻病人的经济负担。
接诊时间:09:00-18:00 节假日不休息
门诊地址:广州市越秀区广州大道中