如果不张嘴,浓眉大眼的李帅(化名)也算是个标准帅小伙,可就因为那口龅牙的牙齿,让二十七岁的李帅没有好工作也没有爱情。
“原来我也想过做正畸,可一想到钢牙套一带就是两年多,听说还不一定能矫正过来,就犹豫了,过了二十五岁,我心想人都长定型了,估计也矫正不了了,就放弃了。”李帅解释道,“牙齿不好看,不敢笑,连说话都不自信,久而久之我越来越孤僻,喜欢宅在家里工作,有的时候一个月也不出门。”

广州越秀圣贝口腔门诊部正畸医生分析:李帅走入了正畸误区,成人正畸应抛弃传统观念!
1、正畸是小孩子的专利:很多成年朋友认为正畸是孩子的专利,其实这是个误区,成年人也是可以做正畸的。只是成年人牙颌骨发育完全,可塑性没有青少年时期好,需要医生根据具体情况调整正畸计划。龅牙的几种矫正方法
2、正畸很花时间:矫正方式有很多,不是每种矫正方式都会花很长时间,比如说美颜正畸,采用了先进的矫正设备,有效减少复诊次数和时间,一般9-12个月就能矫正成功。
3、正畸都要带钢牙套:目前正畸发展迅猛,考虑到患者对美观性的需求,矫治器已经不仅仅是常规的钢牙套了,比如隐形矫治,抛弃传统托槽,采用数控建模工艺,制作全透明的牙套,摘带方便,可以完全隐形。
4、正畸效果不稳定:如果按照科学的方式进行正畸,就没有不稳定一说,圣贝对美颜正畸项目制定了标准,通过长时间的研究,总结出正畸医学稳定性原理,能够达到治疗结果长期稳定。
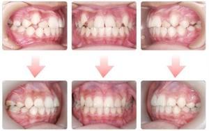
经过多方比较,在医生的建议下李帅选择了美颜正畸,总共矫正时间大概11个月左右,托槽完全透明,即使带上也没人发现。
看着牙齿一天天排整齐,李帅也渐渐开朗起来,也愿意走出家门接触世界。摘下矫治器那天李帅脸红的告诉他的正畸医师,从没谈过恋爱的他成了新公司的抢手货,虽然有些不好意思,但看得出李帅重新拾回了自信。
接诊时间:09:00-18:00 节假日不休息
门诊地址:广州市越秀区广州大道中