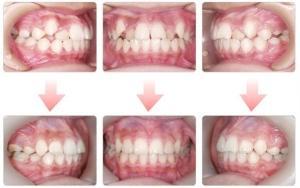
“龅牙”是东方人种中为常见的一类牙颌面畸形,在医学专业上实质是上颌前突畸形或双颌前突畸形,一般不伴有严重的功能障碍,但一般影响美观。“龅牙”病因及发病机制尚未阐明,可能有先天遗传因素和后天不良习惯。该病具有明显的种族发病特征和家族聚集倾向;但后天的不良习惯,如:口呼吸、吐舌、咬下唇和成人吮吸习惯等也可能是造成该病的原因。龅牙是生活中常见的畸形牙齿,龅牙影响形象更影响健康,应及时的矫正,那么什么时候矫正龅牙好呢?

广州越秀圣贝口腔门诊部的专家认为龅牙矫正的适合时间有:
1、恒牙期矫牙,此时乳牙已全部换完,第二颗大牙和第三颗大牙萌出时为又一个快速生长期。一般为12~18岁左右,年龄过小是不适合做矫正的,这时牙齿畸形的诊断比较明确,在此快速生长期内矫正,速度快而且矫正效果稳定。儿童龅牙如何矫正?
2、如果已经错过了以上矫正时期,18岁以后还可以进行成人正畸,确立良好的咬合关系,解除拥挤错乱的牙齿,以预防或治疗牙周病及龋病。此时正畸,可通过调整牙的轴向以利于种植或修复,恢复咀嚼、语言、颞下颌关节的功能,改善颜面的美观。对严重的畸形,可以进行正颌外科手术治疗,效果一般明显。
3、确定牙齿矫正的时间不是的,医生会根据牙齿畸形者的不同类型和个体的生长发育情况而定。然而,对于不少因牙齿引起面部畸形的患者来说,及时治疗,可收到事半功倍的效果。龅牙矫正也要注意一些个人的身体因素,身体因素和精神因素较好的对矫正的时间可以自由选择,特殊情况要根据医生的解答进行龅牙矫正的时间的选择。
圣贝专家提示,龅牙矫正是一般有必要的,不仅可以改善口腔形状,还有助于改善面容,如果已经过了矫正的前期年龄,成人矫正一样可以帮助您的牙齿进行修复,每个人龅牙的程度和形态不一样,需要专家进行一对一的检查,制定适合的方案,进行较佳的牙齿矫正修复,所以需要专业的牙科医疗机构和专业的医生进行修复!圣贝专家5D美容冠!
广州越秀圣贝口腔门诊部连锁牙科连锁医疗机构:5D美容冠
cerec5D被誉为“齿科中的高铁”,传统的牙齿美容修复,至少需要一周的时间,西诺德Cerec 3D齿雕、4D齿雕机器人提速至1小时,Cerec 5D如今只要45分钟即可一次性搞定。黄牙、黑牙、龅牙、畸形牙、四环素牙……从此去无踪。
接诊时间:09:00-18:00 节假日不休息
门诊地址:广州市越秀区广州大道中