你的牙齿有大面积缺损、牙体折断、不宜矫正、变色、死髓牙、四环素牙、牙列缺损的情况吗?

你还在为牙齿黄黑、歪暴、牙列不齐、牙缝过大、畸形牙而垂头丧气吗?
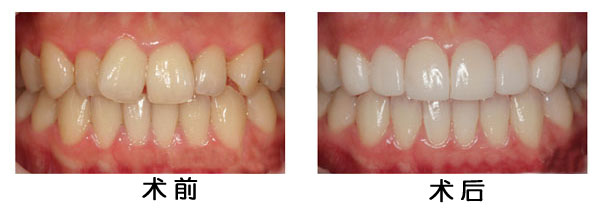
广州越秀圣贝口腔门诊部引进的三维齿雕,仿生牙釉质,不伤对牙,耐用强度高,颜色自然,效果逼真。可以帮您解决任何问题牙,从此让您信心倍增,开怀大笑!牙齿美容都有哪些方法?
【系出名门的三维,齿科中的的“动车组”!】
三维全瓷美牙系统打破了过去磨牙、取模、刻蜡、烧瓷等传统复杂程序,大限度保留自然齿质。只需用一个特殊的光学探头在口腔内取像记录相应牙齿的准确数据,用计算机即时进行精心设计后,雕琢出牙镶体,之后上色、固定,根据咬合情况做一些必要的调整之后,完美的全瓷牙就可以与你相伴,整个过程从诊断、拍摄、制作、试戴在一个区域内完成,一气呵成用时不到1个小时。
全程通过计算机操作、设计、制作方便快捷,其仿真效果和生物相容性与真牙较佳匹配,实现了高科技、高标准、高质量、高、高服务的全新“五高”诊疗模式。
【独特优势,彰显品质】
1、针对难看的色素牙进行表面处理,利用三维齿雕系统设计研磨出来的全瓷贴片进行粘连装饰,就像房子外墙贴瓷砖装修一样,再也不用担心基牙色素传染源渗透出来。避免物漂白治疗不,造成牙齿腐蚀和产生钙化等风险。
2、针对歪暴牙症状,结合上下颌牙齿排列及咬合情况进行全方位的设计,对于暴出正常弧度的牙齿研磨调整,用三维雕出来的珐琅冠进行保护装饰;对于歪、内陷的患牙进行表面粘接处理,将加工好的瓷片粘接上去,以达到正常弧度,不用磨真牙即可实现美观。
3、针对蛀牙、牙冠缺失等问题,通过口腔CT全景机记录牙齿以及窝洞的外形,经过计算机演算后成为“虚拟模型”,并根据顾客的脸型、肤色、骨型、牙齿形态和咬合关系,量身定做治疗方案。后在由电脑数控下自动雕琢出与牙齿完全匹配的全瓷嵌体,经粘接修整即可完成。由于不含金属内冠,加上良好的物理性和透光性,完全避免了传统修复带来的不适。全瓷嵌体从制作到佩戴只需一个小时,更将二、三次诊疗减少成为一次,大大的节省了顾客的宝贵时间。
广州越秀圣贝口腔门诊部连锁牙科连锁医疗机构在卫生部要求的“一人一机一用一灭菌”的基础上,率先实现一人一诊室一治疗室,一医一助一机一用一消毒的无菌诊疗模式,并将手机消毒提到了16层,做到专人专诊专治专机专用,从根本上杜绝了交叉感染、、的传播,体现了强烈的医疗质量责任感与实力。
接诊时间:09:00-18:00 节假日不休息
门诊地址:广州市越秀区广州大道中